What is hantavirus? Everything you need to know
  • May 04, 2026

What is hantavirus? Everything you need to know

Evacuations planned as suspected hantavirus outbreak traps 150, including 4 Canadians, on cruise ship
  • May 04, 2026

Evacuations planned as suspected hantavirus outbreak traps 150, including 4 Canadians, on cruise ship

Joint House-Senate committee considers if Canada is ready for MAID for mental illness: 'it's a very complicated issue'
  •  —
  • May 04, 2026

Joint House-Senate committee considers if Canada is ready for MAID for mental illness: 'it's a very complicated issue'

Quebec drops U.S. firm for provincewide rollout of electronic medical records
  • May 04, 2026

Quebec drops U.S. firm for provincewide rollout of electronic medical records

Manitoba's pharmacists want more prescription power
  • May 04, 2026

Manitoba's pharmacists want more prescription power

Patient at Winnipeg hospital charged for assaulting health-care workers - Winnipeg
  • May 04, 2026

Patient at Winnipeg hospital charged for assaulting health-care workers - Winnipeg

Thousands of cancer patients in England to benefit from new immunotherapy jab
  • May 04, 2026

Thousands of cancer patients in England to benefit from new immunotherapy jab

Alzheimer's drug that showed significant difference in early trials approved for use in Canada
  • May 04, 2026

Alzheimer's drug that showed significant difference in early trials approved for use in Canada

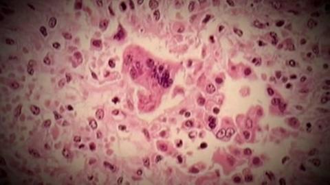
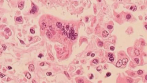
Hantavirus outbreak kills 3 on cruise ship in the Atlantic Ocean, WHO says
  • May 04, 2026

Hantavirus outbreak kills 3 on cruise ship in the Atlantic Ocean, WHO says

University Health Network recruits senior NIH investigator, more than 70 global scientists
  •  —
  • May 04, 2026

University Health Network recruits senior NIH investigator, more than 70 global scientists

As US Is Poised To Lose Measles-Free Status, RFK Jr.'s New CDC Deputy Downplays Its Significance
  • May 04, 2026

As US Is Poised To Lose Measles-Free Status, RFK Jr.'s New CDC Deputy Downplays Its Significance

'You feel like you're on your own': Halifax man with MS speaks out on gaps in Nova Scotia health care
  •  —
  • May 04, 2026

'You feel like you're on your own': Halifax man with MS speaks out on gaps in Nova Scotia health care

Health Canada approves second drug targeting underlying cause of Alzheimer's disease
  •  —
  • May 04, 2026

Health Canada approves second drug targeting underlying cause of Alzheimer's disease

B.C. doctors are using AI scribes to record patients' visits. Could this reduce wait times?
  •  —
  • May 04, 2026

B.C. doctors are using AI scribes to record patients' visits. Could this reduce wait times?

Refugees now have to pay out of pocket for part of their medical expenses. Here’s what doctors are worried about
  • May 04, 2026

Refugees now have to pay out of pocket for part of their medical expenses. Here’s what doctors are worried about

U.S. Supreme Court asked to pause ruling blocking telehealth and mail access to abortion pills
  • May 03, 2026

U.S. Supreme Court asked to pause ruling blocking telehealth and mail access to abortion pills

Ontario announces $15M to connect London-area residents to primary health care
  • May 03, 2026

Ontario announces $15M to connect London-area residents to primary health care

Made-in-B.C. test determines which parent passed on gene linked to increased cancer risk
  • May 03, 2026

Made-in-B.C. test determines which parent passed on gene linked to increased cancer risk

Three passengers dead after suspected hantavirus outbreak on cruise ship
  • May 03, 2026

Three passengers dead after suspected hantavirus outbreak on cruise ship

Joe Rogan said Canadians are getting MAID for depression. A U.K. legislator called our system 'dystopian.' Here's why MAID is causing renewed controversy
  • May 03, 2026

Joe Rogan said Canadians are getting MAID for depression. A U.K. legislator called our system 'dystopian.' Here's why MAID is causing renewed controversy

How 'nursing homes without walls' are helping seniors remain in their homes
  •  —
  • May 03, 2026

How 'nursing homes without walls' are helping seniors remain in their homes

41 years in the mines. Terminal cancer. And a hard choice to keep working. What his story and new data reveal about the costs of Ontario's mining boom
  • May 02, 2026

41 years in the mines. Terminal cancer. And a hard choice to keep working. What his story and new data reveal about the costs of Ontario's mining boom

This Toronto clinic is helping cancer survivors fight one symptom many say is ignored
  • May 02, 2026

This Toronto clinic is helping cancer survivors fight one symptom many say is ignored

AI statistically ties with doctors in trial of emergency triage diagnoses
  • May 01, 2026

AI statistically ties with doctors in trial of emergency triage diagnoses

Get Canada’s essential briefing on health policy, science, and system change.  Get Briefing